Ученые выяснили, как микроорганизмы сообщают о нехватке продовольствия
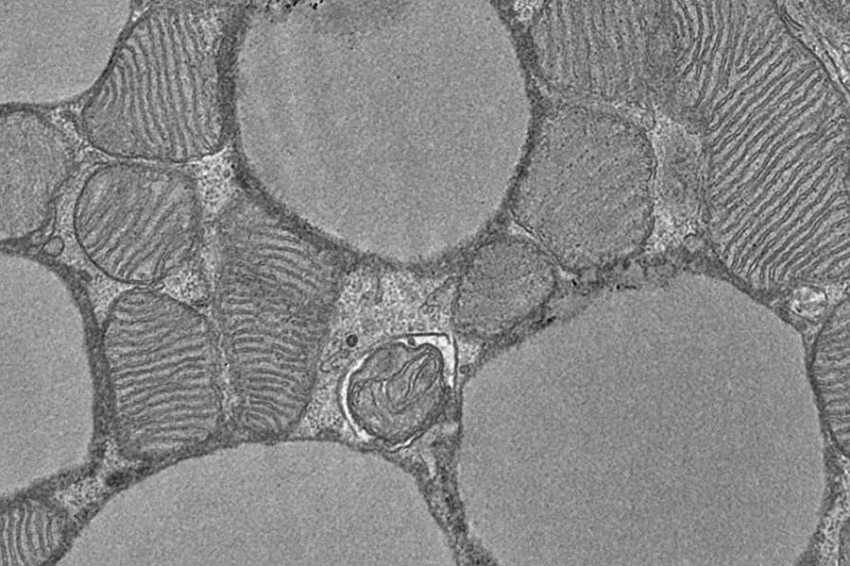
Чтобы расти и выживать, крошечные организмы, такие как дрожжи, иногда должны адаптировать свои источники питательных веществ в ответ на изменения окружающей среды. Исследователи FMI теперь обнаружили, что клетки дрожжей общаются друг с другом, чтобы использовать менее благоприятные питательные вещества, если они предвидят нехватку своей любимой пищи. Это общение облегчается секретируемыми молекулами, которые взаимодействуют с белком в митохондриях, энергетических фабриках клеток.
Результаты раскрывают важный механизм, который позволяет микроорганизмам выбирать правильное меню. Исследование опубликовано в The EMBO Journal.
Как и у людей, у дрожжей есть свои любимые питательные вещества. Чтобы исследовать, что происходит, когда клетки дрожжей ожидают нехватку своей любимой пищи, Шин Осава — из лаборатории Бюлера — и его коллеги из Центра науки об устойчивых ресурсах RIKEN и Токийского университета в Японии изучали делящиеся дрожжи Schizosaccharomyces pombe.
Предыдущие исследования команды RIKEN выявили определенные молекулы, называемые факторами сигнализации азота (NSF), как важные компоненты механизма, который дрожжевые клетки используют для коммуникации. Однако исследователи не знали, как эти молекулы склоняют дрожжевые клетки к переходу на менее благоприятные источники пищи, говорит Осава. Он и его коллеги обнаружили, что повышение уровня NSF приводит к изменениям в программе экспрессии генов дрожжевых клеток, побуждая их переключаться на альтернативные источники питательных веществ.
Используя химически модифицированные молекулы для фиксации взаимодействий между NSF и дрожжевыми белками, исследователи обнаружили, что NSF напрямую взаимодействуют с митохондриальным белком, участвующим в метаболизме, максимизируя рост в ответ на неизбежное изменение доступности питательных веществ.
Результаты раскрывают ключевой механизм коммуникации , который позволяет дрожжевым клеткам экономить на еде. Стратегии роста и выживания сохраняются у разных видов, и дрожжи послужили прекрасным модельным организмом, говорит Бюлер.
«Мы получили существенные знания о биологии клетки и регуляции экспрессии генов, изучая дрожжи», — говорит он. «Помимо фундаментальных знаний, глубокое понимание метаболизма дрожжей становится особенно важным в патогенных ситуациях».
Обсудим?
Смотрите также:
